Модификация модели неалкогольной жировой болезни печени у крыс при сочетании гиперкалорийной диеты и гиподинамии
https://doi.org/10.33380/2305-2066-2021-10-4(1)-155-165
Аннотация
Введение. Неалкогольная жировая болезнь печени (НАЖБП) является наиболее распространенной патологией печени в мире, а неалкогольный стеатогепатит является второй по частоте причиной для трансплантации печени среди взрослого населения. Актуальной задачей является поиск и разработка оптимальной модели НАЖБП на лабораторных животных, которая бы воспроизвела все особенности этого заболевания в клинике.
Цель. Модификация модели НАЖБП на лабораторных животных (крысы), позволяющей максимально полно транслировать полученные данные на человека.
Материалы и методы. Исследование проведено на 52 аутбредных белых крысах самцах одного возраста. В качестве основы модели была использована гиперкалорийная высокожировая диета с добавлением усилителей пищевой привлекательности (натрия глутамат и жидкий экстракт креветки) и впервые применены условия гиподинамии – ограничение двигательной активности животных с помощью специально разработанных клеток, в которых для каждой особи выделялась индивидуальная ячейка размерами 11 × 18 см. Длительность исследования составила 12 месяцев. В ходе эксперимента оценивали массу тела, физическую работоспособность, биохимические показатели сыворотки крови и мочи в динамике, регистрировали летальность. После окончания исследования анализировали массу внутренних органов, висцерального и эпидидимального жира, производили гистологическое исследование печени.
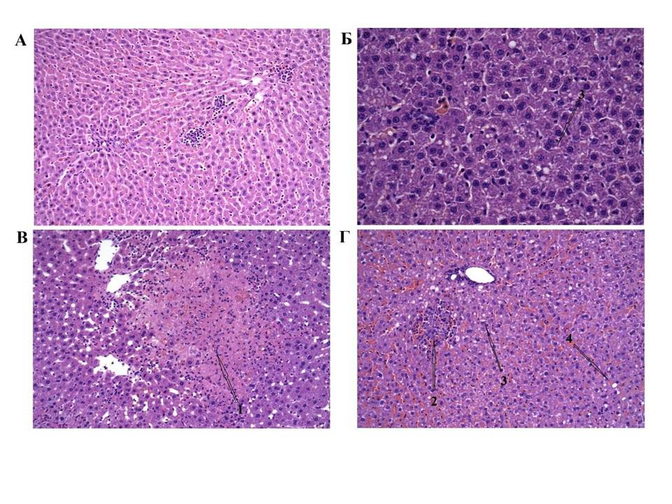
Результаты и обсуждение. В ходе экспериментального исследования гистологически подтверждено развитие НАЖБП у крыс контрольной группы животных. Выявлена высокая смертность в группе животных с патологией. По сравнению с животными интактной группы выявлены статистически значимое повышение их массы тела, массы печени, висцерального и эпидидимального жира, снижение физической работоспособности, нарушения в липидном, углеводном и белковом обменах, а также обнаружены признаки ухудшения белоксинтетической и выделительной функций печени.
Заключение. Выявлен ряд преимуществ модели НАЖБП при сочетании гиперкалорийной диеты и условий гиподинамии, в том числе схожесть условий формирования и патогенеза заболевания у экспериментальных животных и человека, что обеспечивает адекватность трансляции данных из доклинической практики в клиническую.
Ключевые слова
Об авторах
А. В. БунятРоссия
Бунят Анна Валерьевна
197341, Россия, г. Санкт-Петербург, ул. Аккуратова, д. 2
О. М. Спасенкова
Россия
197376, г. Санкт-Петербург, ул. Профессора Попова, д. 14, лит. А
В. Е. Карев
Россия
197022, г. Санкт-Петербург, ул. Профессора Попова, д. 9
А. В. Караваева
Россия
197376, г. Санкт-Петербург, ул. Профессора Попова, д. 14, лит. А
Д. Ю. Ивкин
Россия
197376, г. Санкт-Петербург, ул. Профессора Попова, д. 14, лит. А
А. Н. Куликов
Россия
197341, Россия, г. Санкт-Петербург, ул. Аккуратова, д. 2
С. В. Оковитый
Россия
197376, г. Санкт-Петербург, ул. Профессора Попова, д. 14, лит. А
Н. В. Кириллова
Россия
197376, г. Санкт-Петербург, ул. Профессора Попова, д. 14, лит. А
Список литературы
1. European Association for the Study of the Liver (EASL), European Association for the Study of Diabetes (EASD), European Association for the Study of Obesity (EASO). EASL–EASD–EASO clinical practice guidelines for the management of non-alcoholic fatty liver disease. Journal of Hepatology. 2016;64(6):1388–1402. DOI: 10.1016/j.jhep.2015.11.004.
2. Лазебник Л. Б., Голованова Е. В., Туркина С. В., Райхельсон К. Л., Оковитый С. В., Драпкина О. М., Маев И. В., Мартынов А. И., Ройтберг Г. Е., Хлынова О. В., Абдулганиева Д. И., Алексеенко С. А., Ардатская М. Д., Бакулин И. Г., Бакулина Н. В., Буеверов А. О., Виницкая Е. В., Волынец Г. В., Еремина Е. Ю., Гриневич В. Б., Долгушина А. И., Казюлин А. Н., Кашкина Е. И., Козлова И. В., Конев Ю. В., Корочанская Н. В., Кравчук Ю. А., Ли Е. Д., Лоранская И. Д., Махов В. М., Мехтиев С. Н., Новикова В. П., Остроумова О. Д., Павлов Ч. С., Радченко В. Г., Самсонов А. А., Сарсенбаева А. С., Сайфутдинов Р. Г., Селиверстов П. В., Ситкин С. И., Стефанюк О. В., Тарасова Л. В., Ткаченко Е. И., Успенский Ю. П., Фоминых Ю. А., Хавкин А. И., Цыганова Ю. В., Шархун О. О. Неалкогольная жировая болезнь печени у взрослых: клиника, диагностика, лечение. Рекомендации для терапевтов, третья версия. Экспериментальная и клиническая гастроэнтерология. 2021;1(1):4–52. DOI: 10.31146/1682-8658-ecg-185-1-4-52.
3. Cariou B., Byrne C. D., Loomba R., Sanyal A. J. Nonalcoholic fatty liver disease as a metabolic disease in humans: A literature review. Diabetes, Obesity and Metabolism. 2021;23(5):1069–1083. DOI: 10.1111/dom.14322.
4. Драпкина О. М., Ивашкин В. Т. Эпидемиологические особенности неалкогольной жировой болезни печени в России (результаты открытого многоцентрового проспективного исследования наблюдения DIREGL 01903). Российский журнал гастроэнтерологии, гепатологии, колопроктологии. 2014;24(4):32–38.
5. Cotter T. G., Charlton M. Nonalcoholic steatohepatitis after liver transplantation. Liver Transplantation. 2020;26(1):141–159. DOI: 10.1002/lt.25657.
6. Оковитый С. В., Шустов Е. Б., Белых М. А., Кириллова Н. В., Спасенкова О. М., Иванов А. Г., Караваева А. В., Ткачева А. В. Моделирование неалкогольного стеатоза печени: особенности метаболических изменений в организме лабораторных животный. Биомедицина. 2018;4:29–43.
7. Le K. A., Tappy L. Metabolic effects of fructose. Current Opinion in Clinical Nutrition & Metabolic Care. 2006;9(4):469–475. DOI: 10.1097/01.mco.0000232910.61612.4d.
8. Panchal S. K., Poudyal H., Iyer A., Nazer R., Alam A., Diwan V., Kauter K., Sernia C., Campbell F., Ward L., Gobe G., Fenning A., Brown L. High-carbohydrate, high-fat diet-induced metabolic syndrome and cardiovascular remodeling in rats. Journal of Cardiovascular Pharmacology. 2011;57(5):611–624. DOI: 10.1097/FJC.0b013e3181feb90a.
9. Michaelis O. E., Ellwood K. C., Judge J. M. Scoene N. W., Hansen C. T. Effect of dietary sucrose on the SHR/N-corpulent rat: a new model for insulinindependent diabetes. American Journal of Clinical Nutrition. 1984;39(4):612–618. DOI: 10.1093/ajcn/39.4.612.
10. Zhong F., Zhou X., Xu J., Gao L. Rodent models of nonalcoholic fatty liver disease. Digestion. 2020;101(5):522–535. DOI: 10.1159/000501851.
11. Макарова М. Н., Макаров В. Г. Диет-индуцированные модели метаболических нарушений. Сообщение 4: экспериментальная неалкогольная жировая болезнь печени. Лабораторные животные для научных исследований. 2018;4:41–49. DOI: 10.29296/2618723X-2018-04-04.
12. Xu B. L., Wang R., Ma L., Dong W., Zhao W., Zhang Z., Wang J., Zhang X. Effects of caloric intake on learning and memory function in juvenile C57BL/6J mice. BioMed Research International. 2015;2(1):1–7. DOI: 10.1155/2015/759803.
13. Wang H. Y. Zheng Y., Wang G. L., Li H. X. Identification of microRNA and bioinformatics target gene analysis in beef cattle intramuscular fat and subcutaneous fat. Molecular BioSystems. 2013;9(8):2154–2162. DOI: 10.1039/c3mb70084d.
14. Spruss A., Kanuri G., Wagnerberger S., Haub S., Bischoff S. C., Bergheim I. Toll-like receptor 4 is involved in the development of fructose-induced hepatic steatosis in mice. Hepatology. 2009;50(4):1094–1104. DOI: 10.1002/hep.23122.
15. Wang D., Sievenpiper J. L., de Souza R. J., Cozma A. I., Chiavaroli L., Ha V., Mirrahimi A., Carleton A. J., Buono M. D., Jenkins A. L., Leiter L. A., Wolever T. M. S., Beyene J., Kendall C. W. C., Jenkins D. J. A. Effect of fructose on postprandial triglycerides: a systematic review and meta-analysis of controlled feeding trials. Atherosclerosis. 2014;232(1):125–133. DOI: 10.1016/j.atherosclerosis.2013.10.019.
16. Дерхо М. А., Середа Т. И., Голобородько Г. Н. Влияние глутамата натрия на массу тела и внутренних органов крыс. Фундаментальные проблемы науки. Уфа: РИО МЦИИ ОМЕГА САЙНС; 2015. 142 с.
17. Куликов А. Н., Оковитый С. В., Ивкин Д. Ю., Карпов А. А., Лисицкий Д. С., Любишин М. М. Эффекты эмпаглифлозина при экспериментальной модели хронической сердечной недостаточности у крыс с нормогликемией. Журнал Сердечная Недостаточность. 2016;17(6):454–460. DOI: 10.18087/rhfj.2016.6.2289.
18. Давыдов В. В., Медведев Д. В., Шодиев Д. Р., Некрасова М. С. Влияние нарушения светового режима на липидный обмен и функциональные показатели у интактных крыс и животных с алиментарным ожирением. Наука Молодых (Eruditio Juvenium). 2017;2:175–184.
19. Приходько В. А., Сысоев Ю. И. Поверяева М. А., Бунят А. В., Карев В. Е., Ивкин Д. Ю., Суханов Д. С., Шустов Е. Б., Оковитый С. В. Оценка влияния L-орнитина L-аспартата и эмпаглифлозина на физическую работоспособность при экспериментальном стеатогепатите. Биомедицина. 2020;16(3):77–80. DOI: 10.33647/2074-5982-16-3-77-80.
20. Khalil F., Nabil Rafat M., Salah V., Attia M., Ibrahim W. Study of lipid profile in different grades of non-alcoholic fatty liver disease. The Egyptian Journal of Hospital Medicine. 2018;73(8):7388–7393.
21. Трашков А. П., Брус Т. В., Васильев А. Г., Артеменко М. Р., Печатникова В. А., Гуменная М. А. Биохимический профиль крыс с неалкогольной жировой болезнью печени различной степени тяжести и его коррекция препаратом ремаксол. Педиатр. 2017;8(4):78–85. DOI: 10.17816/PED8478-85.
22. Souza M. R., Diniz M. F., Medeiros-Filho J. E., Araujo M. S. Metabolic syndrome and risk factors for non-alcoholic fatty liver disease. Arquivos de Gastroenterologia. 2012;49(1):89–96. DOI: 10.1590/s0004-28032012000100015.
23. Adiels M., Taskinen M. R., Packard C., Caslake M. J., Soro-Paavonen A., Westerbacka J., Vehkavaara S., Hakkinen A., Olofsson S. O., Yki-Jarvinen H., Boren J. Overproduction of large VLDL particles is driven by increased liver fat content in man. Diabetologia. 2006;49(4):755–765. DOI: 10.1007/s00125-005-0125-z.
24. Gaggini M., Morelli M., Buzzigoli E., DeFronzo R. A., Bugianesi E., Gastaldelli A. Non-alcoholic fatty liver disease (NAFLD) and its
25. connection with insulin resistance, dyslipidemia, atherosclerosis and coronary heart disease. Nutrients. 2013;5(5):1544–1560. DOI: 10.3390/nu5051544.
26. Mahmoud A. A., Elshazly S. M. Ursodeoxycholic acid ameliorates fructose-induced metabolic syndrome in rats. PLoS One. 2014;9(9):e106993. DOI: 10.1371/journal.pone.0106993.
27. Mamikutty N., Thent Z. C., Sapri S. R., Sahruddin N. N., Mohd Y. M. R., Haji S. F. The establishment of metabolic syndrome model by induction of fructose drinking water in male Wistar rats. BioMed Research International. 2014;2014:263897. DOI: 10.1155/2014/263897.
28. D’Amico G., Garcia-Tsao G., Pagliaro L. Natural history and prognostic indicators of survival in cirrhosis: A systematic review of 118 studies. Journal of hepatology. 2006;44(1):217–231. DOI: 10.1016/j.jhep.2005.10.013.
29. Undurti N. D. Beneficial role of bioactive lipids in the pathobiology, prevention, and management of HBV, HCV and alcoholic hepatitis, NAFLD, and liver cirrhosis: A review. Journal of Advanced Research. 2019;17:17–29. DOI: 10.1016/j.jare.2018.12.006.
30. Gyebi L., Soltani Z., Reisin E. Lipid nephrotoxicity: new concept for an old disease. Current hypertension reports. 2012;14(2):177–181. DOI: 10.1007/s11906-012-0250-2.
31. Sackmann-Sala L., Berryman D. E., Munn R. D., Kopchick J. J. Heterogeneity among white adipose tissue depots in male c57bl/6jmice. Obesity. 2012;20(1):101–111. DOI:10.1038/oby.2011.235.
32. Азимова М. О., Блинова Н. В., Жернакова Ю. В., Чазова И. Е. Ожирение как предиктор сердечно-сосудистых заболеваний: роль локальных жировых депо. Системные Гипертензии. 2018;15(3):39–43. DOI: 10.26442/2075-082X_2018.3.39-43.
33. Rocha‐Rodrigues S., Rodriguez A., Becerril S., Ramirez B., Goncalves I., Beleza J., Fruhbeck G., Ascensao A., Magalhaes J. Physical exercise remodels visceral adipose tissue and mitochondrial lipid metabolism in rats fed a high‐fat diet. Clinical and Experimental Pharmacology and Physiology. 2017;44(3):386–394. DOI: 10.1111/1440-1681.12706.
34. Бутрова А. С., Дзгоева Ф. Х. Висцеральное ожирение – ключевое звено метаболического синдрома. Ожирение и метаболизм. 2004;1:10–16.
Дополнительные файлы
|
|
1. Графический абстракт | |
| Тема | ||
| Тип | Исследовательские инструменты | |
Посмотреть
(137KB)
|
Метаданные ▾ | |
Рецензия
Для цитирования:
Бунят А.В., Спасенкова О.М., Карев В.Е., Караваева А.В., Ивкин Д.Ю., Куликов А.Н., Оковитый С.В., Кириллова Н.В. Модификация модели неалкогольной жировой болезни печени у крыс при сочетании гиперкалорийной диеты и гиподинамии. Разработка и регистрация лекарственных средств. 2021;10(4):155-165. https://doi.org/10.33380/2305-2066-2021-10-4(1)-155-165
For citation:
Bunjat A.V., Spasenkova O.M., Karev V.E., Karavaeva A.V., Ivkin D.J., Kulikov A.N., Okovityi S.V., Kirillova N.V. Modification of a model of non-alcoholic fat liver disease in rats with a сombination of a hypercaloric diet and hypodynamia. Drug development & registration. 2021;10(4):155-165. (In Russ.) https://doi.org/10.33380/2305-2066-2021-10-4(1)-155-165


































